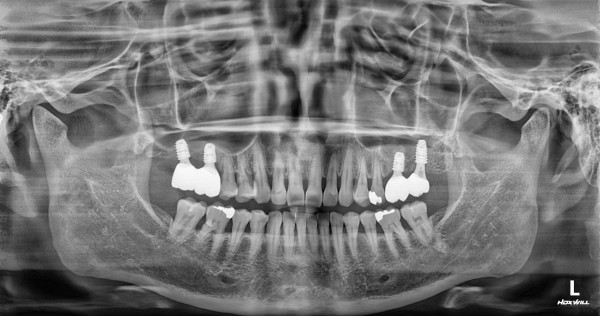
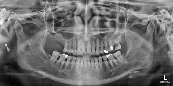
임플란트 센터 | 여) 48세