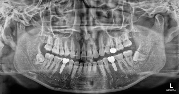
임플란트 센터 | 여) 23세